DJEČAK PROGUTAO 40 ŽVAKA, RODITELJI U PANICI: Evo koje su posljedice i da li ostaje u tijelu ZAUVIJEK - može da napravi HAOS

Kiosk
DJEČAK PROGUTAO 40 ŽVAKA, RODITELJI U PANICI: Evo koje su posljedice i da li ostaje u tijelu ZAUVIJEK - može da napravi HAOS
-

Jedan dječak progutao je 40 žvaka odjednom. Evo koje su posljedice!

Roditelji jednog dječaka uspaničili su se kada je njihov sin, ni manje ni više, progutao 40 žvakaćih guma iz pakovanja. Šest sati kasnije, dječak je počeo da osjeća grčeve u stomaku, dijareju i imao je jake bolove, prenosi naučni časopis "Science Direct".

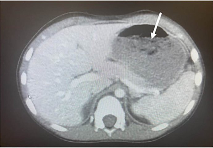
Prema njihovom izvještaju, dječak je hitno prevezen u bolnicu. Medicinski tim iz Klivlendske klinike uradio je odmah skeniranje njegovog stomaka i karlice. I imali su šta i da vide. Snimak je pokazao da su komadići žvake blokirali 25% njegovog stomaka i gastrointestinalnog trakta. Ljekari su dječaku morali metalnom cijevkom kroz grlo da uklone žvake iz stomaka. Ovo je svakako rijedak slučaj, ali nauk za sve ostale.

Postoji zabluda da žvakaća guma ostaje u stomaku sedam godina. Međutim, kako ljekari napominju, žvaka prolazi kroz sistem za varenje i napušta organizam u roku od nekoliko dana. Takođe,  žvakaća guma obično pravi od sintetičke gume, što znači da nema nikakvu hranljivu vrijednost.

"Ako ste progutali komad žvake, izaći će kasnije u stolici. A ako ovo radite svaki dan ili više puta dnevno, to može da izazove blokadu crijeva. Blokada se neće sama očistiti. Ako se ne liječi, može da izazove rupturu gastrointestinalnog trakta", objašnjava dijetetičarka Bet Červoni. Inače, ruptura gastrointestinalnog trakta podrazumijeva akutni rascep sluznice u nivou gastroezofagusne spojnice koji nastaje kod jakog povraćanja.

(MONDO)

Ne propustite