NATEČENO ZUBNO MESO ZNA BITI JAKO BOLNO: Evo šta trebate uraditi da se povuče, NE IGRAJTE SE SA OVIM STANJEM

Kiosk
NATEČENO ZUBNO MESO ZNA BITI JAKO BOLNO: Evo šta trebate uraditi da se povuče, NE IGRAJTE SE SA OVIM STANJEM
Bolesti zubnog mesa pogađaju više od 50% odraslih. Natečenost desni je vrlo čest problem s različitim uzrocima. Najčešći među njima zasigurno su gingivitis (upala zubnog mesa) te nepravilna ili nedovoljna oralna higijena i pušenje. Rjeđe uzroci mogu biti manjak vitamina i minerala, osjetljivost na zubne paste i vodice za ispiranje usne šupljine ili trudnoća.

Bolesti zubnog mesa pogađaju više od 50% odraslih. Natečenost desni je vrlo čest problem s različitim uzrocima. Najčešći među njima zasigurno su gingivitis (upala zubnog mesa) te nepravilna ili nedovoljna oralna higijena i pušenje. Rjeđe uzroci mogu biti manjak vitamina i minerala, osjetljivost na zubne paste i vodice za ispiranje usne šupljine ili trudnoća.

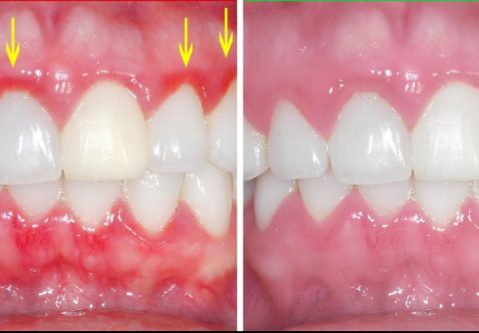
Natečeno tkivo desni može biti izbočeno i crveno. Iako sama natečenost zubnog mesa, pa ni upala često nisu jako bolne, njihovo neliječenje dovodi do ozbiljnijih problema, kao što je ispadanje zubi.

Posebno obratite pažnju na ove simptome:

  • promjene zagriza
  • krvarenje desni
  • loš zadah
  • povlačenje zubnog mesa

Oni koji boluju od bolesti zubnog mesa imaju i veće šanse oboljeti od dijabetesa, bolesti srca ili pluća te imati komplikacije u trudnoći.

Natečenost zubnog mesa može se ublažiti pravilnom oralnom higijenom, zdravim navikama i jednostavnim metodama koje možete isprobati kod kuće. Mi vam predlažemo nekoliko, no, posebno u slučaju natečenosti koja dugo traje, nemojte izbjegavati svoga stomatologa.

Topli i hladni oblozi

Topli i hladni oblozi vam daju brzo olakšanje, jer uz natečenost ublažavaju i bolove. Obloge naizmjenično držite na licu, a ne na zubnom mesu. Gazu najprije namočite u toploj vodi i iscijeđenu je držite na licu oko 5 minuta. Potom uzmite vrećicu sa smrznutim voćem ili povrćem i držite ju dok lice ne utrne od hladnoće.

Slana voda

Slana voda smanjuje prisutnost bakterija u ustima i tako smanjuje rizik od infekcija koje uzrokuje brojne bolesti usne šupljine. Nakon pranja zubi mekanom četkicom, zube četkajte slanom vodom ili u šalicu tople vode stavite 1 žličicu soli i isperite usta dvaput dnevno.

Hidrogenov peroksid

Uz to što pomaže pri izbjeljivanju zubi, hidrogen peroksid (hidrogen 3%!) pomaže i kod natečenosti zubnog mesa. Mješavinu hidrogena i vode grgljajte pola minute, a potom isperite toplom vodom. Kombinirajući hidrogen sa sodom bikarbonom možete napraviti i pastu za zube. Nanesite je na desni te nakon minute isperite. Nikako nemojte progutati hidrogen.

Vrećice crnog čaja

Crni čaj sadrži tanine koji ublažavaju upalu zubnog mesa te ima odlična antioksidacijska svojstva koja poboljšavaju opće zdravlje usne šupljine. Stavite ohlađenu vrećicu čaja na zahvaćeni dio i držite 10 do 15 minuta. Isperite toplom vodom sa solju i ponavljajte postupak jednom dnevno, nekoliko dana za redom.

Mućkanje ulja u ustima

Bilo da se radi o upaljenom zubnom mesu ili ne, mućkanje ulja u ustima može pomoći u prevenciji i liječenju niza bolesti usne šupljine. Preporučuje se kokosovo ulje. Svako jutro prije pranja zubi uzmite 1 žlicu i mućkajte je 15 do 20 minuta u ustima. Ispljunite ulje, a potom operite zube kao i inače.

Vitamin D i pravilna prehrana

Vitamin D djeluje antiupalno i ublažava oticanje zubnog mesa. Uz to, pomaže tijelu da iskoristi sav kalcij iz prehrane. Time se povećava gustoća kostiju i zubi. Riba, jaja i sjemenke suncokreta su namirnice bogate vitaminom D, ali on je dostupan i kao dodatak prehrani.

Osim vitamina D i kalcija vaše zubno meso treba i vitamin C te folnu kiselinu. Manjak bilo kojeg od ovih elemenata može uzrokovati ponovno oticanje zubnog mesa. Ipak, najvažniji savjet koji vam možemo dati je taj da redovito mijenjate četkicu za zube i vodite računa o dentalnoj higijeni.

(Krenizdravo.hr)

Ne propustite