"Došla sam u Bosnu iz Dijaspore da uradim zube, a kada sam vidjela šta su mi uradili..."
Bh. građanka koja živi u dijaspori objavila je šokantnu ispovijest. Prenosimo pismo, bez objavljivanja identiteta, u nastavku:
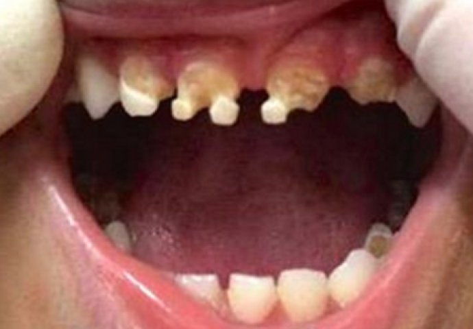
- Ovom prilikom želim vam se obratiti i ispričati moj događaj sa zubarkom iz Tešnja… Prije 5 godina, tačnije u decembru 2012. godine kod dotične zubarke sam napravila 6 prednjih zuba, za koje je ona dala, hajmo reći obećala, 30 godina garancije.
Naravno zubi će biti kao kod filmskih glumica, riječi su njene. Međutim, kada su zubi stavljeni prije toga gospođa nije zalječila ni rane, niti je živce umrtvila. Samo je navlake stavila na to. I sve se desilo u roku od 7 dana. I priprema i navlake i jednostavno sve.
Kako živim van Bosne zvala sam je par puta jer su zubi ubrzo počeli da sive. Kao odgovor sam dobila da je to normalno u početku. 2015. godine sam lično otišla kod dotične gospođe. Također sam joj pokazala da su se zubi počeli razdvajati, na šta sam odgovor dobila da je od trudnoće to moguće i da zubi sebi traže smještaj poslije svega.
Poslije izvesjnog vremena osjetila sam pod jezikom na nepcu neku kao kvržicu kao krug veličine graška, vremenom je sve raslo i širilo se. Nisam više mogla ni jesti od užasnih bolova. Tako sam odlučila posjetiti doktora u mijestu gdje živim (Italija). Poslana sam hitno da vadim nalaze i da slikam vilicu. Kao prvo su mi morali izlječiti svih 6 zuba koje gospođa nije uradila. Nalazi su pokazali i 3 ciste.

Dvije su sa unutarnje strane, a jedna na nepcu. Operacija je zakazana u septembru ove godine. Sav rad zubara u Italiji dosad me je koštao 2.000 eura. Kako za koji dan dolazim u Bosnu odlučila sam je nazvati i da se dogovorim sa njom o problemu koji je ona svojim radom ili neradom prouzrokovala.
Na sve to sam dobila odgovor kako je to posao od 6/7 godina i daje moj slučaj već zastario. Da sam operaciju trebala kod nje da radim, a ne kod drugih. I da nikad svoj novac neću dobiti natrag. Još mi je naglasila da mogu ići kod advokata i na Sud jer ipak ona će pobijediti i onako doktori su tu uvijek u pravu i u Bosni oni uvek pobjeđuju.
Naravno da ona može sve u svoju korist okrenuti. Žao mi je samo što taj razgovor nisam snimila pa da poslušate i tu drskost. Ovim putem Vas želim opomenuti da čuvate sve račune od zubara ili bilo koga gdje idete. Također, želim vas opomenuti da ne idete kod ove zubarke da vam se ne bi desilo kao i meni što je.
Ja možda neću ništa postići što se toga tiče, ali ću se boriti i Vas opomenuti. Ja ću naravno zubarku tužiti i naravno da ćemo se nas dve sresti bar još jednom. A to će biti SUD. Nadam se pravdi države i grada Tešnja.