Hrvatska ukinula "crne plombe"

Vijesti
Hrvatska ukinula "crne plombe"

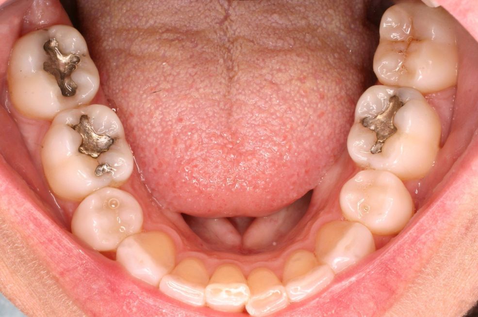
UGRAĐIVANJE zubnih amalgama pacijentima, takozvanih "crnih plombi", postat će u Hrvatskoj od 1. srpnja 2026. godine iznimka, proizlazi iz EU uredbe koju je Hrvatski sabor usvojio danas.

Uredbom 2024/1849 Europskog parlamenta i Vijeća od 13. lipnja 2024. o živi u pogledu zubnog amalgama i drugih proizvoda kojima je dodana živa proširuje se zabrana uporabe dentalnog amalgama za stomatološko liječenje, sa osoba do 15. godine života, dojilja i trudnica, na sve ostale osobe s područja država članica Europske Unije.

Iako je, prema Uredbi, zabrana uporabe zubnog amalgama u Hrvatskoj stupila na snagu 1. siječnja 2025. godine, propisano je izuzeće do 30. lipnja 2026. godine do kada se amalgam još može koristiti, u slučajevima kada doktor dentalne medicine procijeni da je nužan zbog posebnih zdravstvenih potreba pacijenta, odnosno u vrlo specifičnim kliničkim okolnostima.

Razlog izuzeća je, kako se navodi u Uredbi, ograničavanje socioekonomskog učinka postupnog ukidanja dentalnog amalgama, osobito na pacijente s niskim prihodima.

Nakon toga, od 1. srpnja 2026., zabranjuju se uvoz i proizvodnja zubnog amalgama, osim za potrebe pacijenata koji i dalje zahtijevaju takav materijal zbog jasno utvrđenih zdravstvenih indikacija, pojašnjavaju u Ministarstvu zdravstva primjenu Uredbe.

Uredba se izravno primjenjuje u svim državama članicama EU-a.

Hrvatska komora dentalne medicine (HKDM) ističe da doktori dentalne medicine u Hrvatskoj, poput ostalih članica EU, još od 1. siječnja 2018. godine osobama do 15. godine, trudnicama i dojiljama već kontinuirano stavljaju kompozitne ispune , umjesto amalgamskih, izuzev u slučaju medicinske indikacije, o čemu odlučuje doktor dentalne medicine.

U 11 mjeseci 2025. učinjeno 2525 amalgamskih ispuna
"Sve do donošenja izmjena općeg akta Hrvatskog zavoda za zdravstveno osiguranje , u ordinacijama se može koristiti dentalni amalgam kao standardni materijal, iako je prema našim saznanjima, njegova uporaba u padu", navode u Komori.

Dodaju kako ordinacije koje se ne nalaze u sustavu javnog zdravstva u pravilu gotovo i ne koriste amalgam, već druge dentalne materijale.

Prema podatcima Hrvatskog zavoda za zdravstveno osiguranje (HZZO), u prvih 11 mjeseci 2025. godine u ugovornim ordinacijama dentalne medicine na primarnoj razini zdravstvene djelatnosti učinjeno je ukupno 2525 amalgamskih ispuna.

Koji će materijali zamijeniti amalgam?
Koji će materijali bez žive zamijeniti amalgam, još je predmet pregovora Ministarstva zdravstva, Hrvatske komore dentalne medicine (HKDM) i Hrvatskog zavoda za zdravstveno osiguranje (HZZO).

Naša procjena je da će nove ispune koštati između 10 i 12 milijuna eura godišnje i to će biti uvršteno u financijski plan HZZO-a za sljedeće razdoblje, kako građani ne bi morali sami to doplaćivati, kazao je državni tajnik Ministarstva zdravstva Tomislav Dulibić tijekom rasprave u Hrvatskom saboru.

HKDM, kao predstavnik dentalne struke, predložio je kao zamjenski materijal stakleno-ionomerne ispune za zubne ispune na trajnim pretkutnjacima i kutnjacima, za osigurane osobe iznad 18 godina starosti, koje nisu trudnice i dojilje.

Pritom napominje da HZZO propisuje primjenu standardnog dentalnog materijala u okviru obveznog zdravstvenog osiguranja, a da se doktoru dentalne medicine ostavlja mogućnost korištenja alternativnog materijala u slučaju postojanja medicinskih indikacija.

Ističu također da je prestanak korištenja dentalnog amalgama vezan isključivo s aspekta i radi zaštite okoliša, a nikako ne radi ugrožavanja zdravlja građana.

Prema podatcima Hrvatske gospodarske komore, u 2024. godini uvezeno je u Hrvatsku amalgama plemenitih kovina, što uključuje i zubni amalgam, u vrijednosti 38.600 eura, a u prvih devet mjeseci 2025. godine u vrijednosti 20.400 eura, uglavnom iz Poljske i Njemačke.

Aktivnosti vezane uz proizvodnju navedene robe nisu zabilježene.

Cilj je potpuno ukidanja uporabe žive u Europskoj uniji
Cilj Europske unije je potpuno ukidanje uporabe žive u svim preostalim primjenama kako bi do 2030. postala prva ekonomija bez žive te tako zaštitilo zdravlje ljudi i okoliš od štetnih učinaka žive.

Taj ambiciozan cilj planira provesti kroz zabranu uvoza i izvoza žive i određenih proizvoda koji sadrže živu, sigurno skladištenje, kao i postupno ukidanje upotrebe žive u raznim proizvodima.

Upotreba zubnog amalgama u dentalnoj medicini smatra se jednim od najvećih preostalih izvora upotrebe žive u Europi. Jedna od procjena navodi da se u Europi oko 40 tona žive godišnje odlaže u okoliš putem dentalnog amalgama.

Poznato je da izloženost živi ima snažan negativan učinak na zdravlje ljudi. Živa je dokazano toksična, djeluje na živčani, imunološki i reproduktivni sustav, može uzrokovati oštećenja bubrega i jetre te se prenosi s majki na djecu preko posteljice ili dojenjem.

Uredbom EU-a o živi doprinosi se ispunjavanju ciljeva Europskog zelenog plana, kao i Strategije Europske unije o održivosti u području kemikalija i Akcijskog plana za postizanje nulte stope onečišćenja.

Ne propustite