KAKO DA PREPOZNATE DA IMATE CISTU U DOJCI? Bol je jedan od simptoma, a evo kada morate da je odstranite

Porodica i zdravlje
KAKO DA PREPOZNATE DA IMATE CISTU U DOJCI? Bol je jedan od simptoma, a evo kada morate da je odstranite
-

Ako se bol jače osjeća u dijelovima dojke koja je pod pritiskom, na primjer, od brushaltera, moguće je da je razlog puka iritacija, ali i da se pojavila neka cista.

Mnoge žene dožive bol u grudima bar u nekom periodu života. Neki bolovi su ciklični - ponavljaju se u određenim periodima, kao što je, na primjer, mjesečni ciklus.

U vrijeme menstruacije, javlja se osjetljivost ili bol, obično u spoljnoj i gornjoj regiji dojki, kao i u pazušnim jamama. Žene često lako prepoznaju taj bol, jer se javlja uvijek u istom periodu u mjesecu.

Neciklični bolovi su oni koji uopšte ne prestaju ili se javljaju u nekim nepravilnim intervalima. Često žena ima osjećaj zatezanja ili vreline. Ako se bol jače osjeća u dijelovima dojke koja je pod pritiskom, na primjer, od brushaltera, moguće je da je razlog puka iritacija, ali i da se pojavila neka cista.

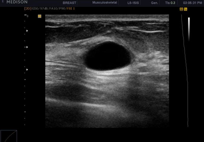
Ciste su okruglog oblika, pokreću se pod pristima i relativno su čvrste - nisu tvrde "kao kamen". Moguće je da se pojavi samo jedna, kao i da bude više njih u dojci. U prosjeku, oko 25 odsto svih kvržica u dojkama budu ciste, benigne promjene, a neke uopšte i ne izazivaju bol.

Najčešće se javljaju kod žena u četrdesetim godinama i ne zahtevaju nikakvu terapiju. Konačna dijagnoza može se postaviti ultrazvučnim pregledom. Ako je jednostavna, ali veća od 12 do 15 mm ili je složena i daje simptome u vidu bola, ljekar obavlja aspiraciju tečnosti iz ciste iglom. Izvađena tečnost ide na laboratorjski, citološki prebled. Ukoliko je tečnost krvava, smeđa ili mutna i ukoliko se ponovo pojavi nakon pražnjenja nakon 12 nedelja, hirurški se odstranjuje budući da je, rijetko, moguć razvoj raka dojke.

Izvor: Lepa&Srećna

Ne propustite