NE ZANEMARUJTE: Ovi znakovi se čine nebitni, ali upućuju na ozbiljne zdravstvene probleme

Porodica i zdravlje
NE ZANEMARUJTE: Ovi znakovi se čine nebitni, ali upućuju na ozbiljne zdravstvene probleme
Tijelo nam često šalje znakove koje mi zanemarujemo, misleći da su nebitni.

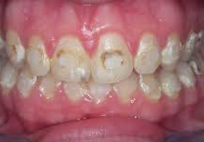
1. Oštećeni zubi
Ako ne konzumirate mnogo slatkiše ili ne pijete gazirane sokove a vaša zubna caklina je oštećena posjetite doktora opće prakse. Zatim tražite uputnicu za gastroenterologa jer vam caklinu vjerojatno nagriza želučana kiselina. 

Želučani refluks čest je zdravstveni problem kod mnogo ljudi. Još neki simptomi koji upućuju na ovo stanje su česte upale grla i konstantno loš okus u ustima.

Ne propustite