ZARAŽEN KORONA VIRUSOM, ALI NEMA SIMPTOME: Evo šta se dešava njegovim plućima

Aktuelno
ZARAŽEN KORONA VIRUSOM, ALI NEMA SIMPTOME: Evo šta se dešava njegovim plućima
.

Asimptomatski slučajevi infekcije su nova misterija nauke, a evo kakav je trenutni stav o njima.

Veliki dIo ukupnog broja inficiranih čine "asimptomatski slučajevi". Američki centar za kontrolu bolesti i prevenciju kaže da od ukupnog broja oko 20 do 50 odsto čine pacijenti koji nisu imali nikakve vidljive simptome.

Ono što je još veći problem je činjenica da, iako su pacijenti asimptomatski što znači da ne osjećaju nikakve probleme, korona virus ostavlja trag u njihovom tijelu i posljedice po zdravlje.

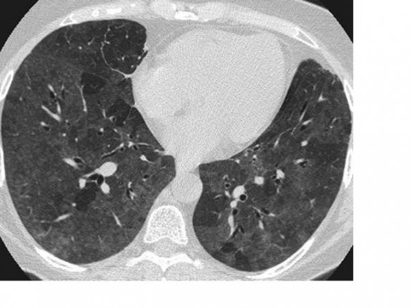
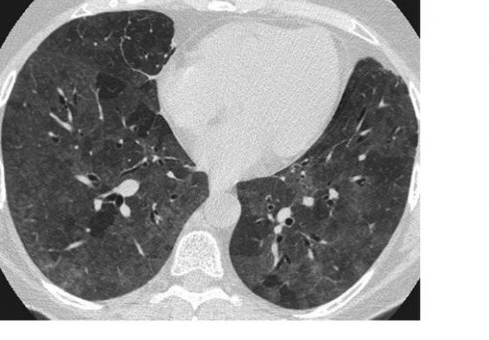
Naučni članak objavljen u Annals of Internal Medicine kaže da su snimci pluća asimptomatskih pacijenata pokazali određene abnormalnosti na plućima.

Tačnije, našli su ono što radiolozi nazivaju "mliječno staklo" koje se uglavnom javlja u donjem dijelu pluća, ali to ne mora uvijek da bude slučaj. Ovaj naučni tekst tvrdi da se "mliječno staklo" javlja u 54 odsto asimptomatskih pacijenata.

00-k9llahr0cdovl29jzg4uzxuvaw1hz2vzl3b1bhnjbxmvwkrbn01eqv8vywe3othmzme5y2mwnwqzoge1ytrimzi0mtrjztcyzmmuanbnkzmczqkeaieaaq

foto: MLUISAMTZ11/ Wikipedia

- Ovo pokazuje da se ljudima pojavljuje šteta u organizmu koje nisu ni svjesni - kaže Erik Topol, koautor ovog istraživanja i profesor molekularne medicine.

To nije jedino istraživanje koje je pokazalo pojavu "mliječnog stakla" kod asimptomatskih pacijenata.

A koliko je to ozbiljno? Niko nije potpuno siguran.

- "Mlečna pluća" nisu neuobičajena i postoji nekoliko uzroka za njih. Međutim, mliječno staklo nastalo usljed Kovida-19 je drugačije. Oblik je okrugao i raspoređeni su po krajevima pluća, što je neuobičajeno - kaže Adam Bernejm, radiolog iz Mount Sinai bolnice u Njujorku.

On kaže da se ne može sa sigurnošću reći koje su dugoročne posljedice ovih mliječnih pluća.

- Ako je u pitanju blaži oblik, moguće je da pluća zacijele. Neki teži slučajevi ostavljaju ožiljke na plućima, zbog čega pacijente cijelog života prati kraći dah, a moguće je i da je povećana mogućnost obolijevanja od raka pluća. Međutim, ništa za sada ne možemo da tvrdimo sa sigurnošću - kaže on.

Izvor: Zena.blic.rs

 

Ne propustite