OVO JE NAJPODMUKLIJI KARCINOM: Otišla je kod doktora po lijekove za srce, i saznala da ima RAK

Zdrav život
OVO JE NAJPODMUKLIJI KARCINOM: Otišla je kod doktora po lijekove za srce, i saznala da ima RAK
.

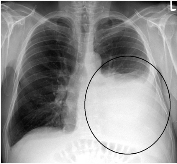
Ljubica Gašić iz Beograda očekivala je da će lako proći zakazanu kontrolu kod ljekara. Međutim, rezultati su bili poražavajući. Pronašli su joj rak pluća, u šezdeset petoj godini. Karcinom je zahvatio desno plućno krilo i ljekari su joj rekli da ne mogu da je operišu.
loženi hemoterapija i zračenje, koji su jedini vidovi liječenja u Srbiji.

4

Međutim, dobila je ponudu od onkologa da se priključi medicinskoj studiji - imunoterapiji, koja za sada daje najbolje rezultate. Umjesto da neposredno napada rak, kao što to čini hemoterapija, imunoterapija pokušava da podstakne pacijentov imuni sistem da se bori protiv bolesti.

Imuno umjesto hemoterapije

1

U našoj zemlji malo ko od pacijenata ima sreće kao Ljubica. Oni rijetki koji mogu da primaju imunoterapiju, isto su kao i ona uključeni u studiju. Iako Srbija zauzima neslavno drugo mjesto u Evropi po oboljevanju od karcinoma pluća, država još uvijek nije obezbjedila pacijentima ovakav vid terapije. Samo u periodu od 1999. do 2009. godine u Srbiji je zabilježen značajan porast broja oboljelih od raka pluća za 27 odsto. U prosjeku kod nas godišnje boli ogotovo 6.000, a umre 4.600 osoba.

Ljubica, kao i većina pacijenata, nije imala nikakve simptome, a dijagnoza ju je dočekala kao grom iz vedra neba. Ostala je šokirana.

Neoperativni tumor

11

- Kod ljekara sam otišla samo da podignem lijekove za srce. Iskoristila sam to i požalila sam se na malaksalost, koju sam osjećala par dana ranije. Nakon prvog slušanja pluća, doktorki se nje dopalo šta čuje, zbog čega me je poslala kod specijaliste. Nakon desetak dana odlazim kod plućnog ljekara. Tada sam se već osjećala dobro i dok sam čekala da uđem u ordinaciju zapitala sam se šta ću ja ovdje. Ipak, snimak je pokazao da imam rak pluća, koji nije mogao da se operiše - priča Ljubica za "Blic".
8

Ubrzo nakon toga dobija poziv da se priključi studiji, što ona prihvata, iako nije znala šta je čeka. Već nakon prve ture imunoterapije, njen karcinom je počeo da se smanjuje.

- Isto se daje kao i hemoterapija. Čak mi je i kosa opala, ali to sam sve prihavtila. Svidjelo mi se i kako mi perika mi stoji. Ni u jednom trenutku se zbog toga nisam stidjela. Ali, vijest koju sam dobila već nakon prve kontrole, dala mi je snage da se i dalje borim. Moj tumor se smanjio. Dobila sam još više snage da ga pobjedim - navodi ona.

 

Ulaznica za studiju

10

Kaže da shvata da je imala sreće, jer tip tumora koji je dobila bio je ulaznica za studiju.

 Šanse za uspješno izlječenje su decenijama imali samo pacijenti kojima se bolest otkrije u ranoj fazi i koji su operisani, a u posljednjih 15 godina situacija se drastično mjenja pojavom molekularne - biološke terapije i najnovije imunološke terapije. Danas smo svjedoci brzog razvoja imunološke terapije različitih malignih bolesti, koja predstavlja pravu revoluciju u liječenju maligniteta, pa tako i karcinoma pluća. Sa imunoterapijom u značajnom procentu bilježe se odlični rezultati, kao što su dugotrajna, djelimična ili potpuna povlačenja metastatskih tumora. Na taj način postiže se osnovni cilj u liječenju raka, a to je da se rak pretvori u hroničnu dugogodišnju bolest - objašnjava prof. dr Dragana Jovanović.

Uskoro lijekovi za sve

9

Ona kaže da ovi lijekovi ne djeluju na tumor, već direktno na imunski sistem organizma.

- Prekida se blokada imunskog odgovora koju tumor izaziva i pojačava se odgovor organizma na tumor, kojim se ubijaju maligne ćelije. Imunoterapija je sada našim pacijentima dostupna samo kroz učešće u kliničkim studijama, iako se već daje u većini evropskih zemalja. Nadamo se da će ova grupa lijekova kao i drugi lijekovi, uskoro biti dostupni preko zdravstvenog osiguranja i za građane Srbije - ističe prof. dr Jovanović.

Podmukla bolest bez simptoma

5

U većini slučajeva, rak pluća ne daje nikakve simptome sve dok bolest već ne uznapreduje. Ipak, postoji i mnogo slučajeva u kojima ljudi simptome ove teške bolesti zamjenjuju nečim drugim, što je uvijek fatalna greška.

Zato je potrebno da što prije odete kod ljekara ako primjetite neke od ovih znakova, jer su u tom slučaju šanse za izliječenje značajno veće.

Mogući simptomi

3

    - Kašalj koji ne prestaje ili se pogoršava
    - Iskašljavanje krvi ili sekreta boje hrđe
    - Bol u grudima koji se pogoršava dubokim udahom, kašljanjem i smijanjem
    - Promuklost
    - Neobjašnjiv gubitak težine i apetita
    - Kratak dah
    - Umor i iscrpljenost
    - Infekcije poput bronhitisa i upale pluća koje ne prolaze ili se stalno vraćaju
    - Šištanje prilikom udaha

OVO JE NAJOPASNIJA NAMIRNICA KOJU STALNO JEDEMO: Često je na sniženju, a niko vam neće reći da može biti OTROVNA!

Ne propustite