BILA JE ZDRAVA, OSIM ŠTO JE BOLJELA RUKA: Snimili su joj kosti a kada su vidjeli OVU SLIKU ljekari su OSTALI ŠOKIRANI!

Zanimljivosti
BILA JE ZDRAVA, OSIM ŠTO JE BOLJELA RUKA: Snimili su joj kosti a kada su vidjeli OVU SLIKU ljekari su OSTALI ŠOKIRANI!
.

Simptomi sa kojima se borila žena (44), inače potpuno zdrava, zbunjivali su redom sve ljekare. Bolovi u ruci i ramenu nikako da prođu, a ljekari pojma nisu imali o čemu se radi. A onda je stvar postala još čudnija.
 

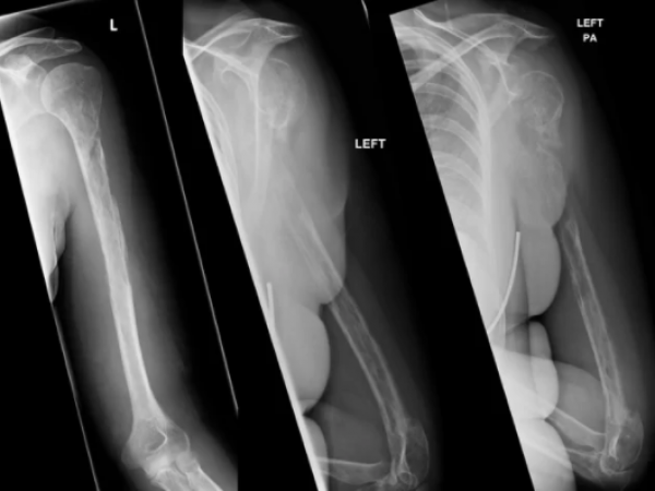
U nizu rendgenskih snimaka, činilo se da kosti ove žene nestaju ljekarima pred očima.

I taj podatak bio je ključan za rešenje misterije, tako bizarne da je cijela Škotska bila na nogama. Žena o kojoj je riječ patila je, ispostavilo se, od Gorham-Stautovog sindroma, odnosno, kako je još zovu "bolesti nestajućih kostiju". U pitanju je ekstremno rijedak fenomen u kome ljudi progresivno i rapidno gube kosti.

Ovaj bizaran slučaj objavljen je krajem marta u izdanju "Journal BMJ Case Reports", a u savremenoj medicinskoj literaturi zabeleženo je samo 64 slična slučaja u celoj istoriji.
rengen

Ljekari, inače, ni danas ne znaju šta uzrokuje ovo stanje. Znaju da bolest nije genetska i da je ne uslovljavaju spoljni faktori. Ono što su primijetili kod pacijenata je abnormalno širenje krvnih i limfnih sudova. Oni rastu i šire se tako agresivno da uspijevaju da se infiltriraju u kosti koje se onda lome. Tada benigni, odnosno nekancerogeni tumori krvnih sudova zamijenjuju kost.

Agonija ove žene i njeno traganje za dijagnozom trajali su 18 mjeseci - toliko je prošlo od kada se prvi put pojavila u ordinaciji žaleći se na bol i otok ruke.

Ne postoji lijek za ovo stanje, i sve terapije mogu da posluže samo da se olakša ovaj sindrom, koji se inače, pored udova, može javiti i u rebrima, karlici, lobanji, ključnim kostima i vilici.

Ne propustite